
Précision dans le geste, minutie dans le travail, délicatesse dans le choix des teintes…
c’est un travail d’orfèvre que nous vous proposons.


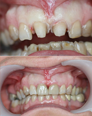
Nous vous proposons une gamme complète de prothèses dentaires fixes esthétiques répondant aux attentes de chaque patient.
Stratification céramique 5 poudres Ivoclar IPS E-max sur une chape usinée en zircone multicouche Katana YML.
Couronne Full Zircone multicouche KATANA YML 600 Mpa offrant une dureté, une translucidité et un aspect esthétique proche d’une dent naturelle.


Nous réalisons tous vos travaux d’implantologie, de la couronne unitaire au bridge transvissé hybride le plus complexe.
Notre machine d’usinage ImesIcore 350i Pro, associée à la version la plus complète du logiciel de parcours d’outils WorkNC Dental, assure un usinage direct des prothèses transvissées, barres sur implants et sur piliers multi-unit.
Nous sommes équipés pour traiter tous les systèmes de toutes les marques. Notre savoir faire vous offre des solutions innovantes, en Cobalt Chrome, en titane ou en Peek, permettant de gérer vos travaux de manière à obtenir le meilleur résultat.

Couronne Full Zircone monolithique monoteinte (équivalence A2/A3) remplaçant avantageusement la couronne coulée traditionnelle de part sa biocompatibilité et sa teinte.
Couronne en alliage Chrome Cobalt ou en titane, se destinant aux restaurations fonctionnelles.